Explanation & History of Albert's OFA Hip Rating

UPDATE:  I resubmitted Albert's hips to OFA in November 2013 (at 5 1/2 years of age) and they came back rated "good".  At the same time, I did Penn Hip; that came back in the 90th percentile with a .27 and .31!  So I'm finally satisfied.
_______________________________________________________________________________________________________

3/14/13

Albert's current hip rating of "fair" is not an accurate rating.  Even Dr. Keller, head of OFA, said "they should
at least be a good". 

At about 14 months of age, I had prelims done by a very experienced repro specialist, Dr. Morris Link, Madison, WI;  prelims rated "
excellent".

At 29 months, as I was frantically trying to get ready for my relocation to Virginia, a friend took Albert to another vet (that I won't mention) for his final OFA x-rays.  She did not see the film, nor did we get a picture or digital.  I was shocked when that came back from OFA rated "
Borderline", with "slight subluxation of the left hip";  they recommended to do again in 6 months.  Elbows passed.

After moving to Virginia, I had my repro vet re-do Albert's hips at 35 months of age (under anesthesia).  He also looked at the picture of the 14-month prelims that I had.  His opinion was that Albert's hips were virtually identical in the 14-month and the 35-month x-rays ... there had been NO changes.  He felt that we had a strong good, possibility of an excellent.

These last x-rays came back from OFA rated "
fair".  I talked with Dr. Keller, who was very open.  He said he had seen the x-rays as soon as they came in, and that  "they should at least be a good".  Before I could challenge him further, he explained that the other two orthopedic specialists had access to the previous rating and "probably were afraid to take too big a jump" from the previous "borderline" rating.

Dr. Keller told me I should wait 6 months until the other two specialists were off the cycle, then re-submit the hips.  That would be the 4th time I've had to pay for hip x-rays and submission fees, just to get an accurate rating!!!

I am upset to have gotten caught in OFA's issues.  First, they need to start sending back x-rays, refusing to rate them, if the positioning is not correct.  They used to do this years ago but rarely do anymore, apparently don't want to offend the veterinarians who took the x-rays.  Second, the orthopedic specialists at OFA should NOT have access to previous ratings or film, that obviously can and does influence them.  Their rating should be based solely on the film that was submitted to them for evaluation ... that is what they are paid to do.

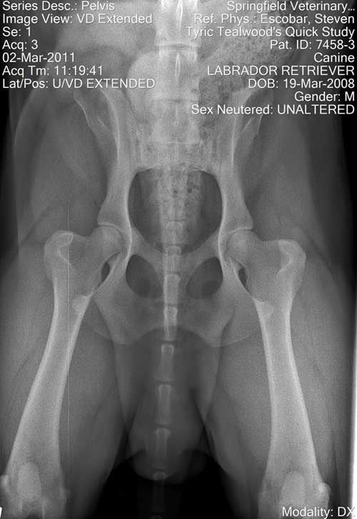
I may re-do Albert's hips but, at present, cannot afford to pay for a fourth attempt.  So, I'm offering this explanation and a pretty good picture of Albert's most recent hip x-ray, taken at 35 months of age.  Although I fully realize that a "fair" IS a pass on hips, in this case it is not a correct representation.

I also want to point out that in the first 3 generations behind Albert, out of 14 dogs, there are 4 excellents (including his mama) and 10 goods.  Out of Albert's littermates that have had hips done, there are several excellents, the rest good.  None of his littermates have any evidence of hip problems.